Ο ανθρώπινος εγκέφαλος είναι ένα εξαιρετικά ανθεκτικό όργανο. Γνωρίζουμε πως η υπερβολική κατανάλωση αλκοόλ προκαλεί ζημιά στον εγκέφαλο, λεπταίνοντας την εξωτερική επιφάνεια του φλοιού η οποία είναι απαραίτητη για τη διατήρηση των υψηλών γνωστικών λειτουργιών.
Τώρα, σε μία προσπάθεια να ενθαρρύνουν ανθρώπους που προσπαθούν να απεξαρτηθούν από το αλκοόλ, επιστήμονες δημοσιεύσαν μία νέα έρευνα που δείχνει πόσο γρήγορα ο εγκέφαλος μπορεί να επιδιορθώσει τη ζημιά που έχει προκληθεί, μόλις σταματήσει οριστικά η λήψη αλκοόλ.
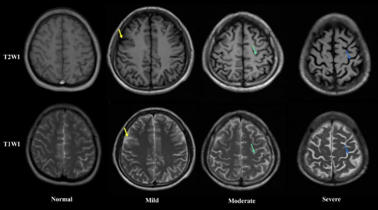
Οι λίγες μακροχρόνιες μελέτες που ερευνούν την τοπική αποκατάσταση του πάχους του φλοιού κατά τη διάρκεια της αποχής από το αλκοόλ, περιορίζονται στον πρώτο μήνα της απεξάρτησης. Ωστόσο η έκταση της αποκατάστασης σε μία μεγαλύτερη περίοδο αποχής είναι άγνωστη.
Οι ερευνητές λοιπόν διαπίστωσαν πως η αποκατάσταση του εγκεφάλου είναι ταχύτερη τον πρώτο μήνα, αλλά συνεχίζει μέσα στους επόμενους 7 μήνες, φτάνοντας το πάχος του φλοιού ανθρώπων χωρίς διαταραχή χρήσης αλκοόλ (AUD).

Οι 88 συμμετέχοντες με AUD που συμμετείχαν στη μελέτη έκαναν μαγνητικές τομογραφίες στη μία εβδομάδα, στον ένα μήνα και στους 7.3 μήνες της αποχής τους από το αλκοόλ. Μόνο 40 από τους 88 κατάφεραν να απέχουν από το αλκοόλ για την πλήρη περίοδο της έρευνας. Για χάρη σύγκρισης, οι ερευνητές έκαναν μαγνητικές τομογραφίες και σε 45 ανθρώπους που δεν είχαν ποτέ AUD, μία φορά με την έναρξη του πειράματος και μία εννέα μήνες μετά για να επιβεβαιώσουν πως οι περιοχές που μελετούσαν παρέμειναν ίδιες.
Συνολικά οι ερευνητές κατέγραψαν το πάχος του φλοιού σε 34 περιοχές του εγκεφάλου και στα δύο ημισφαίρια. Μετά τους 7.3 μήνες χωρίς αλκοόλ, η διαφορά ήταν στατιστικά σημαντική στις 25 από τις 34 περιοχές, ενώ στις 24 από αυτές έφταναν το επίπεδο ανθρώπων που δεν έκαναν κατάχρηση αλκοόλ.
Και οι 34 περιοχές του φλοιού είχαν ταχύτερη ανάκαμψη στην περίοδο μεταξύ μίας εβδομάδας και ενός μήνα. Ασθενείς με AUD οι οποίοι είχαν επίσης υψηλή αρτηριακή πίεση ή υψηλή χοληστερόλη, είχαν πιο αργή ανάκαμψη, ενώ το ίδιο ισχύει για αυτούς που κάπνιζαν.

Αξίζει να σημειωθεί πως τα ευρήματα της έρευνας επικεντρώνονται στο πάχος του φλοιού και δεν καταγράφουν τυχόν αλλαγές στην εγκεφαλική λειτουργία.
Μακροπρόθεσμες έρευνες με μεγαλύτερο δείγμα ασθενών είναι απαραίτητες για να ερευνήσουμε τη γνωστική και φυσιο-κοινωνική λειτουργία που σχετίζεται με την αποκατάσταση του πάχους του φλοιού κατά τη διάρκεια της παρατεταμένης αποχής σε ασθενείς με AUD. Τα δεδομένα προσφέρουν κλινικά σχετικές πληροφορίες για τα οφέλη της απεξάρτησης στη μορφολογία του εγκεφάλου.




















































